TAC Dental

¿QUE ES UN TAC DENTAL?

Es una técnica que permite una óptima planeación preoperatoria de la colocación de un implante dental.

Tac Dental

CUALES SON SUS INDICACIONES

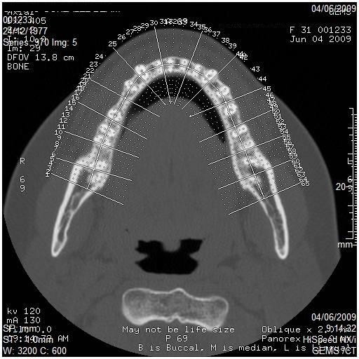
Los implantes óseo-integrados se han convertido en una forma aceptada de reemplazo dental permanente. Un importante avance en la evaluación preoperatoria de los candidatos para colocación de implantes es el desarrollo de un software para escanografia que es capaz de generar imágenes panorámicas y axiales del maxilar superior y de la mandíbula. Estas imágenes permiten al Odontólogo Implantólogo realizar varias medidas para determinar si el sitio es adecuado para la colocación de un implante.

QUE INCLUYE EL REPORTE

Incluye la altura, ancho y angulación del reborde alveolar; calidad del hueso en el sitio del implante; relación del sitio del implante con las estructuras adyacentes como son el reborde alveolar, canal mandibular y foramen mentoneano en la mandíbula y el reborde alveolar, la fosa nasal, el seno maxilar y el ducto nasopalatino en el maxilar superior. La medición por escanografía es un método muy exacto de planeación permitiendo así una adecuada óseo integración del implante que ayuda al éxito del mismo.

¿Por qué elegir Anta Salud?

Profesionales especializados

Contamos con un equipo formado en distintas áreas de la salud, para mejorar tu calidad de vida.

Las mejores instalaciones

Disponemos de unas instalaciones modernas en un entorno agradable.

Gran experiencia

Tenemos una amplia trayectoria profesional y disponemos de diversas especialidades médicas con maravillosos profesionales.

Reserva cita cómodamente

Podrás reservar cita con nuestros profesionales cómodamente y a través de nuestro formulario.

Scroll al inicio